Bir ihbarı değerlendiren İl Emniyet Müdürlüğü Narkotik Suçlarla Mücadele Şubesi ekipleri, kent merkezinde belirlenen taksiyi durdurdu.
Taksideki İran uyruklu 2 yolcu gözaltına alındı.
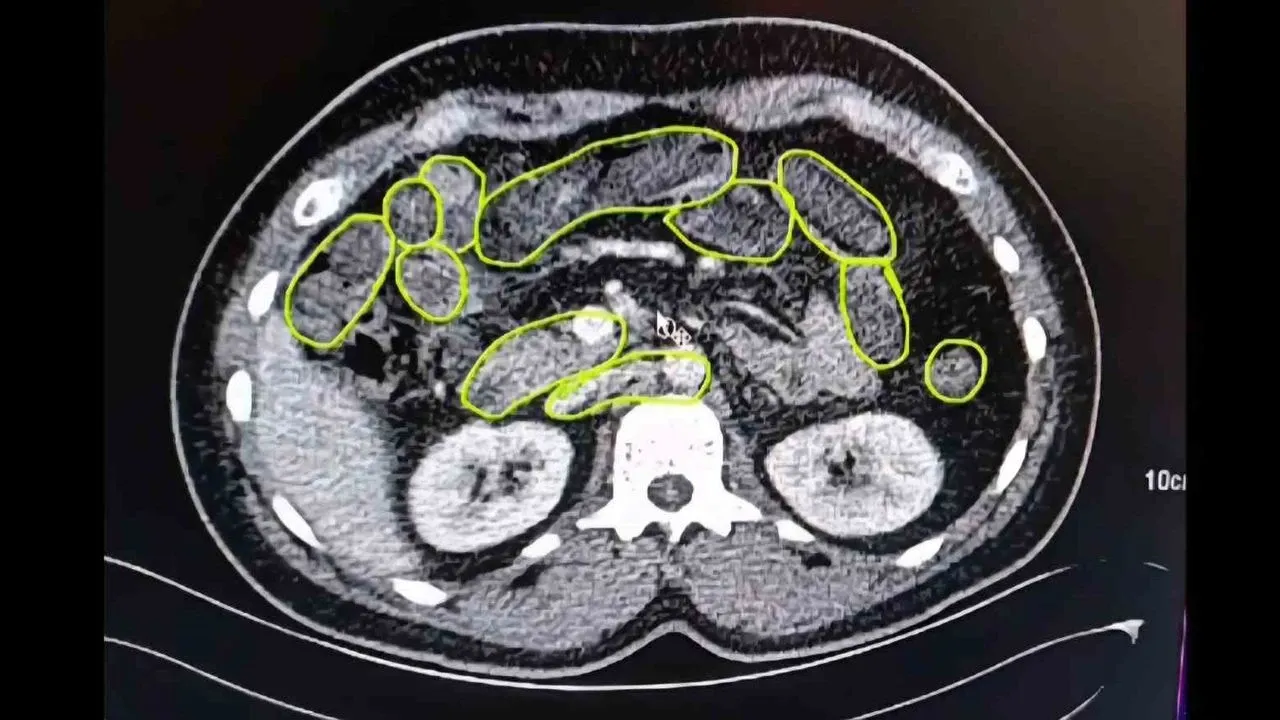
Uşak Eğitim ve Araştırma Hastanesi'ne götürülen şüphelilerin röntgen ve tomografi çekiminde mide ve bağırsaklarında kapsüller olduğu belirlendi.
Şüphelilerin yuttuğu 93 kapsülden 1 kilo 70 gram sentetik uyuşturucu çıkarıldı.
Emniyetteki işlemlerinin ardından adliyeye sevk edilen zanlılar çıkarıldıkları hakimlikçe tutuklandı.





